28 dagen later
- shamrocksdream
- 29 apr 2022
- 1 minuten om te lezen
Gisteren was het dan zover.
28 dagen later, het ideale moment voor een echo.
Met een klein hartje trokken we naar de dierenarts.
Caoilfhionn had immers nog niets van ongemak getoond, heel wat anders dan het vorige nest.
En dan kwam de dierenarts met een heuze vragenlijst.
'Is er al wat te merken, is haar karakter veranderd?'
Euh... nee eigenlijk niet, ze is wat aanhankelijk, maarja het is dan ook Caoilfhionn.
'is ze al misselijk geweest?'
Goh, nee, dat eigenlijk ook niet.
'En heeft ze al uitvloei gehad?'
Nee, niets gemerkt eigenlijk.
Intussen was de moed me al volledig in de schoenen gezakt, kwam er nog een vraag.
'Eet Caoilfhionn nog goed of laat ze soms haar eten staan?'
Nee ze eet niet goed, en ja ze laat soms eens een pot eten staan,
maar dat doet ze al haar hele leven. het zit wat in de familie denk ik.
'Goed dan zullen we eens kijken of we wat zien.'
Heeft het dan nog wel zin dacht ik.
Dus Caoilfhionn mocht even op haar rug in een comfortabel kussentje gaan liggen,
uiteraard met een beetje hulp, want uit zichzelf zou ze dat natuurlijk niet doen.
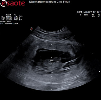
Buikje kreeg een beetje gel en dan ging de echoscoop erop.
nog geen seconde later, 'oh u heeft geluk!'
Ik keek naar het scherm en zag daar een vruchtje mooi in beeld.
Even naar het hartje geluisterd. Steeds opnieuw een prachtig moment.
In het flits was de echo voorbij, weer genoten van de pups te zien in het buikje.
Nu duimen dat alles goed mag blijven gaan en dat er niet opnieuw een baarmoederontsteking opduikt.
En terwijl we verder wachten tot de komst van de pups, gaan we Caoilfhionn nog wat meer verwennen
en uiteraard beginnen met het huis terug puppyproof te maken.



















Opmerkingen